お気軽に
お問い合わせください

診療時間
10:00~12:00
15:00~19:00
  • …14:30~19:00

マウスピース矯正からワイヤー矯正に変更

マウスピース矯正からワイヤー矯正に変更

マウスピース矯正治療中にこんなお悩みありませんか?

  • 装着時間が守れない
  • マウスピースの管理が大変
  • 矯正治療を早く終わらせたい
  • なかなか思ったように歯が動かなくて不安

当院ではマウスピース矯正からワイヤー矯正装置の変更が可能です。

治療の流れ

検査

顔面、口腔内写真撮影や口腔内模型の型取り、セファロ、パノラマを使用してしっかりと検査を行います。必要に応じてCTも撮影します。

カウンセリング

現状の口腔内の説明と今後の治療方針や装置について医師が説明します。
ご不明な事があれば何でもご質問ください。

治療

バンド、ブラケットを装着します。
当院では審美ブラケット(透明で目立ちにくい)を使用しております。

通院期間

抜歯、非抜歯などで変化はありますが約12か月~30か月ほどで治療が完了します。
月1回程度経過観察でご来院ください。

リテーナー

マウスピース型保定装置、固定式保定装置(舌側ワイヤー固定)を使って後戻りしないように歯を固定します。リテーナー期間が終われば矯正治療終了です。

矯正歯科医院での治療をおすすめします

矯正歯科医院のドクターは、大学卒業後、大学の矯正歯科で矯正の基礎知識を習得し、専門分野として研鑽を積んできているので、色々な状況に対応できる装置や技術を持っています。当院では他院のマウスピース矯正からワイヤー矯正への変更も相談可能ですのでお気軽にご相談ください。
(※症例によってはお受けしかねるケースもございます)

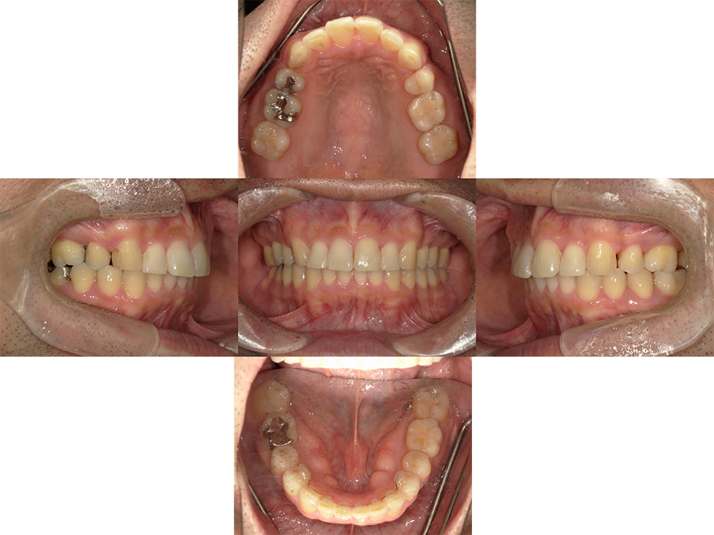
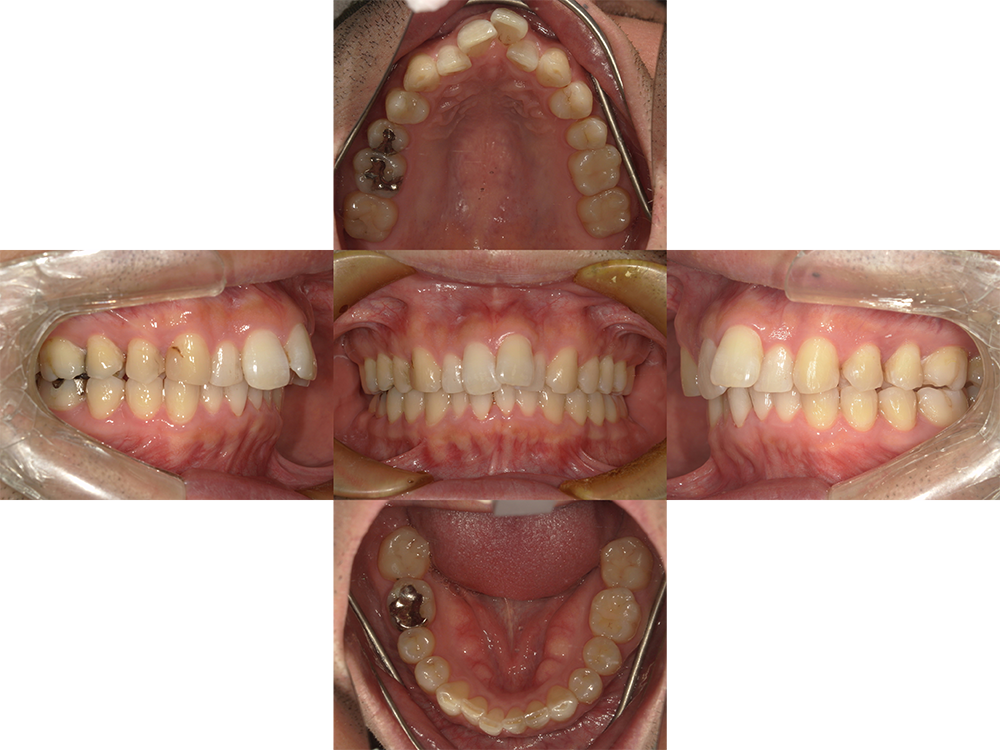
症例

Before

before

After

after

Before

before

After

after
主訴
叢生
装置
ワイヤー矯正
治療期間
2年2ヵ月(現在保定中)
性別
男性
年齢
40歳
抜歯箇所
上顎左右4番
費用
367,400円

非抜歯にてマウスピース矯正(インビザライン)を他医院から転勤にて転医。 インビザラインのアカウントを引継ぎ非抜歯にて治療を継続。

仕事の都合上、マウスピースを装着する時間が短いので治療が進まないとのことで、上顎左右4番の抜歯によるワイヤー矯正に変更することに。

費用

他院でマウスピース矯正を治療していて当院でワイヤー矯正に変更をご希望の方への費用

初診カウンセリング費用
(セカンドオピニオンとして)
5,500円(税込み)
検査・診断料
33,000円(税込み)
矯正料金
220,000円~440,000円(税込み
※症例によって料金が変動します
処置料
4,400円(税込み)

マウスピース矯正をご不安に感じられている方へ

マウスピースをつけ忘れてしまった

1日の装着時間の目安が20~21時間ですのでつけ忘れてしまった時などは、次のアライナーへの交換の日にちをずらして1日、2日長めにつけていただくなどして調整すれば大丈夫です。

継続してつけられる自信がない

最初は皆さん不安ですが慣れれば大丈夫です。習慣化できるようにしましょう。
マウスピース矯正を開始するのをきっかけに、規則正しい生活を心掛けてみてはいかがでしたでしょうか。どうしても自信のない方は従来のワイヤー矯正をおすすめします。

contact
contact

お気軽にお問い合わせください

072-997-0008